AI Portfolio

Back to Website
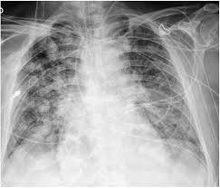
Pediatric Chest X-ray Pneumonia Detection
Pediatric Chest X-ray Pneumonia Detection

A deep learning model to detect pneumonia from pediatric chest X-rays.

Learn More
Sentiment Analysis
Sentiment Analysis

A sentiment analysis model that classifies text into positive or negative sentiments.

Learn More
Protein Sequence Analyzer
Protein Sequence Analyzer

A tool to analyze and classify protein sequences.

Learn More
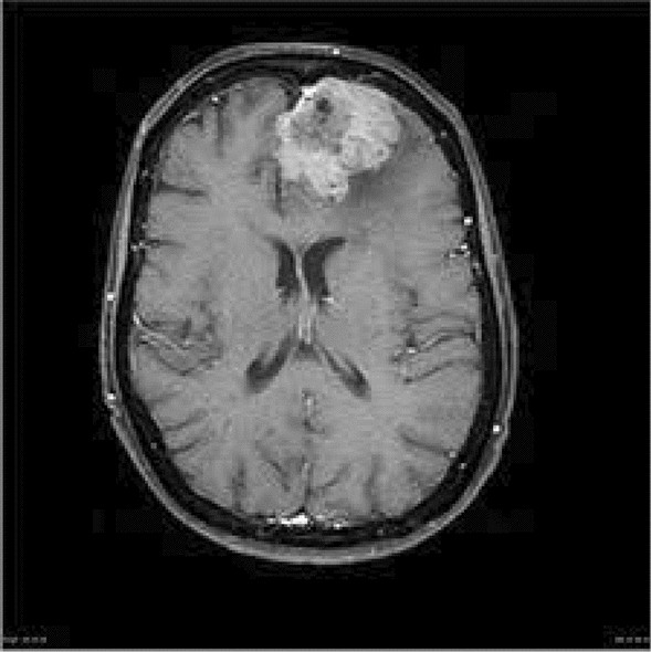
Brain Tumor Detection
Brain Tumor Detection

An AI model designed to detect brain tumors from MRI scans.

Learn More
Face Age Estimation
Face Age Estimation

An AI model that estimates the age of a person from a facial image.

Learn More
Skin Cancer Segmentation
Skin Cancer Segmentation

A model for segmenting skin cancer in images.

Learn More
Image Generator
Image Generator

An AI-powered image generator based on text input.

Learn More
TBA
TBA

A project to be announced soon.

Learn More